No, Elden Ring is not a sequel, prequel, series spin-off or similar extension of the Dark Souls franchise, despite the clear similarities between the game...
In particular, she says you should refrain from stretching any time you have acute muscle strain, acute ligament sprain, or nerve injury/damage. And it...
Research still supports the idea that light to moderate amounts of red wine (one glass per night) have mostly beneficial or neutral effects on our health....
Only once a year, on his birthday, did Charlie Bucket ever get to taste a bit of chocolate. The whole family saved up their money for that special occasio...
Astra is a Ghanaian Radiant. She is the 16th to join the VALORANT Protocol. Ghanaian Agent Astra harnesses the energies of the cosmos to reshape battlefie...
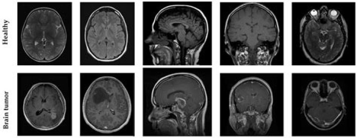
Loss of volume of the part of the Brain Results of several MRI scan studies have demonstrated people with depression had a hippocampus volume that was up ...
Biologists in Demark found that more than 90 percent of certain types of wild fish were infested with nematode larvae. Another study, by researchers in Al...
Due to Norway's rigorous controls, consumers can have total confidence Norwegian salmon is completely antibiotics free, according to the Norwegian Se...
Appreciate them: ... Hangout at places they feel comfortable at: ... Involve yourself in hobbies they adore: ... Ask them questions and know what they lik...