Aries (♈︎) (Greek: Κριός [Kriós], Latin for "ram") is the first astrological sign in the zodiac, spanning the first 30 degrees of celestial longitude (0°...
Jacques Bermon Webster II, better known by his stage name Travis Scott, is an American rapper, singer, songwriter, and record producer. His stage name is ...
15. Ciuccio or big ciuccio, often pronounced, "chooch": Italian slang for a dumb oaf, or a hardheaded idiot. 16. Cafone, often pronounced, "gavone": someo...
Age Makes a Difference "From age six months to maturity, most cats will do well when fed two times a day." Once the cat becomes an adult, at about one yea...
The winner of the Steel Ball Run is PocolocoPocolocoPocoloco (ポコロコ, Pokoroko) is a secondary character appearing in Steel Ball Run. He remains a neutr...
The Briggs & Stratton LO206 engine is a 200cc air-cooled 4-cycle motor that produces approximately 9hp with a 6,100 rpm rev-limiter. The engine itself...
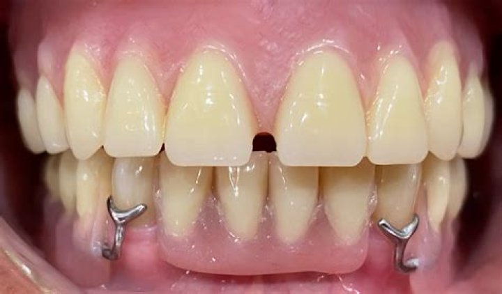
Initially you might feel like there is a lot in your mouth and that the dentures are too bulky. It doesn't take long for the body to adapt to this ne...
While there are some minor risks to drinking water from your bathroom tap, there are no major health problems directly related to it. Is it safe to drink ...
For every child 6-17 years old, families got $250 each month, and for every child under 6 years old, families will get $300 each month. The 80% who get th...